Joint fusion surgery requires precise evaluation and skilled care to restore joint stability and function. With over 17 years of experience, Dr. Praful Kilaru offers expert joint fusion procedures in Malakpet, combining advanced imaging, careful assessment, and modern surgical techniques. His approach ensures pain relief, improved mobility, and helps patients safely return to their daily activities with confidence.
Joint fusion surgery in Malakpet
Dr. Praful’s Orthopedic Clinic, Malakpet
with
Advanced Diagnosis & Expert Care by Dr. Kilaru Praful
What Is Joint Fusion Surgery?
Joint fusion surgery is a specialized procedure aimed at relieving pain and restoring stability in severely damaged or arthritic joints. The goal is to fuse the affected bones, maintain proper alignment, and improve function, allowing patients to move comfortably and regain independence. At Malakpet, Dr. Praful Kilaru provides personalized joint fusion care using advanced imaging, precise planning, and modern surgical techniques to ensure optimal long-term results based on the patient’s joint condition, age, activity level, and overall health.
Joint Fusion Surgery in Malakpet – Expert Care for Pain-Free Mobility
Joint fusion surgery in Malakpet focuses on restoring stability and function in severely damaged or arthritic joints. The procedure aims to fuse the affected bones, relieve pain, maintain proper alignment, and improve movement. Commonly needed for worn-out or injured joints, it requires advanced imaging, precise surgical planning, and specialized orthopedic expertise. Dr. Praful Kilaru provides personalized treatment tailored to the patient’s joint condition, age, activity level, and overall health, ensuring safe recovery and a confident return to daily life.
About the Dr.Praful
- 17+ Years of Excellence in Orthopedics
- MBBS, MS (Orthopaedics)
- AO Trauma Fellowship – Switzerland
- Arthroscopy & Sports Injury Specialist
- Senior Orthopedic Surgeon – Hyderabad
Struggling with Joint Pain? Here’s What You Should Know
Joint fusion surgery is a specialized procedure designed to relieve pain and restore stability in severely damaged or arthritic joints. The surgery carefully fuses the affected bones to maintain alignment, preserve function, and improve mobility. Often recommended for worn-out or injured joints, it involves advanced imaging, precise planning, and expert surgical techniques. At Malakpet, Dr. Praful Kilaru provides personalized care to ensure safe recovery and help patients confidently return to their daily activities.
Common Signs You May Need Joint Fusion Surgery
Common Causes of Joint Fusion Surgery
- Severe joint damage from accidents or trauma
- Arthritis or worn-out joints causing instability
- Sports or high-impact injuries affecting joint function
- Work-related or heavy-duty injuries
- Weak or deteriorated joints from aging or bone conditions
Joint Fusion Surgery Options in Malakpet
Non-Surgical Treatments
- Pain relief and anti-inflammatory medications
- Braces or supports to stabilize the joint
- Physiotherapy to improve mobility and strength
- Regular imaging to track joint health
- Activity adjustments for safe recovery
Surgical Treatments
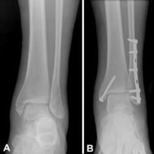
- Joint fusion using plates, screws, or rods
- Minimally invasive fusion techniques, where possible
- Reconstruction of severely damaged joints
- Revision surgery for previously failed joint procedures
Diagnosis for Joint Fusion Surgery
Discussing the pain
Check joint movement
Identify the cause of damage
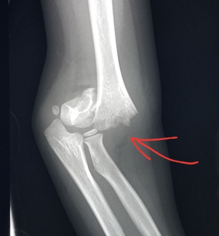
X-ray or CT/MRI
Why Patients Highly Recommend Dr. Praful
| S.No | Reason | Description | Category |
|---|---|---|---|
| 1 | Strong Educational Background | MBBS, MS Orthopedics, AO Trauma Fellowship (Switzerland) | Qualification |
| 2 | 17+ Years of Clinical Excellence | Successfully treated thousands of patients | Experience |
| 3 | Expert in All Orthopedic Conditions | Knee, spine, shoulder, fractures, sports injuries, pediatric cases | Expertise |
| 4 | Advanced Robotic & Minimally Invasive Surgery | Faster recovery, less pain, precise results | Technology |
| 5 | Honest, Clear & Ethical Treatment | Surgery advised only when truly required | Ethics |
| 6 | High Surgical Success Rate | Thousands of pain-free, satisfied patients | Outcomes |
| 7 | Easy Accessibility – Located in Malakpet | Patients visit from Dilsukhnagar, Amberpet, Chaderghat & more | Location |
| 8 | Excellent Patient Reviews | Known for communication, care & surgical skill | Reputation |
| 9 | Personalized Treatment Plans | Tailored care for every patient | Care Quality |
| 10 | Modern Diagnostic Tools | Accurate assessment with advanced imaging | Diagnostic Quality |
| 11 | Comprehensive Ortho Care | Covers trauma, joint pain, arthritis & sports injuries | Specialty |
| 12 | Friendly & Supportive Team | Smooth experience from consultation to recovery | Patient Support |
| 13 | Fast Recovery Protocols | Focus on minimal downtime and faster healing | Recovery |
| 14 | Transparent Communication | Clear explanation of treatment options | Trust |
| 15 | Affordable Treatment Options | Quality orthopedic care at reasonable pricing | Value |
| 16 | High Patient Satisfaction | Strong word-of-mouth recommendations | Social Proof |
🩺 What Causes Joint Damage Requiring Fusion Surgery?
Joint fusion surgery is usually needed when joints are severely damaged or unstable. Proper evaluation helps decide the best surgical approach.
1. High-Impact Trauma
- Accidents causing severe joint injuries
- Sports or heavy-impact collisions
- Falls leading to joint instability
2. Joint-Related Factors
- Advanced arthritis or worn-out joints
- Previous joint surgeries or implants
- Age-related joint degeneration
3. Damage Complexity
- Severely unstable joints
- Multiple bone or cartilage damage
Patients Testimonials
Rated 5.0
★★★★★
based on Google Reviews
F
Farheen M.
Malakpet
★★★★★
“I had been dealing with severe wrist pain for almost two years, and nothing seemed to work. The team here listened patiently to my concerns and explained every step of the fusion procedure. Today, I can use my hand without any pain, and my daily tasks feel so much easier. I’m genuinely grateful for their care.”
M
Mohammed Imran
Chanchalguda
★★★★★
“My ankle arthritis had reached a point where walking even short distances felt impossible. After my joint fusion surgery, the difference is unbelievable. The doctors were supportive, the physiotherapy team guided me throughout recovery, and I can finally walk without limping. Truly life-changing.”
S
Shailaja R.
Moosarambagh
★★★★★
“I was very nervous before surgery, but the way the staff explained everything made me feel safe and informed. The surgery went smoothly, and the follow-up care was exceptional. My foot pain is completely gone now, and I’m able to stand for long hours at work again.”
R
Ramesh K.
Dilsukhnagar
★★★★★
“An old injury had left my thumb joint unstable, and it affected my grip strength. The orthopedic surgeon recommended fusion, and it turned out to be the best decision. Recovery was quick, the team was professional, and I can now hold things firmly without discomfort.”
S
Sushmita L.
Malakpet
★★★★★
“My mother underwent joint fusion surgery here, and I can say the experience was excellent from start to finish. The doctors were gentle, patient, and very transparent about the procedure and costs. She is walking comfortably today, and our family is extremely thankful.”
D
Devender R.
Amberpet
★★★★★
“I tried physiotherapy and medications for years, but the pain kept coming back. After the fusion surgery, I finally feel stable and pain-free. The best part was how the team took time to understand my lifestyle and planned the treatment accordingly. Highly recommended for anyone struggling with chronic joint pain.”
FAQs
What is joint fusion surgery?
Joint fusion surgery in Malakpet is a procedure where two bones are permanently joined to remove painful movement and improve stability. It is commonly used when arthritis, injuries, or deformities cause severe pain.
Who needs joint fusion surgery?
Joint fusion surgery in Malakpet It is recommended for patients with chronic joint pain, arthritis that does not respond to treatment, joint instability, deformities, or previous injuries that affect mobility.
Is joint fusion surgery in Malakpet safe?
Yes, the procedure is very safe when performed by experienced orthopedic surgeons. Our team follows strict Joint fusion surgery in Malakpet sterilization and surgical safety protocols.
How long does recovery take?
Joint fusion surgery in Malakpet Recovery usually takes 8–12 weeks, depending on the joint treated. Full fusion and bone healing may take a few months.
Will the fused joint lose movement?
Yes, the joint will no longer move, but patients gain stability and significant pain relief. Most daily activities are still possible with proper rehabilitation.
What imaging tests are needed before the surgery?
X-rays, CT scans, or MRI are used to understand the damage and plan the surgery with precision.
Is the procedure done under anesthesia?
Yes, the surgery is done under general or spinal anesthesia, ensuring you feel no pain during the procedure.
How long does the surgery take?
Most joint fusion surgeries take 1–2 hours, depending on the complexity of the case.
Will I need to stay in the hospital?
Many patients stay for a day or two for observation and initial recovery.
Are there risks involved?
All surgeries have risks, but complications are rare. We take every step to minimize infection, swelling, and delayed healing.
When can I walk after ankle or foot fusion surgery?
You may need to avoid weight-bearing for a few weeks. Your surgeon will guide you based on your healing progress.
Will I need physiotherapy after surgery?
Yes. Physiotherapy helps you regain strength, balance, and proper movement patterns during recovery.
What materials are used for fixation?
Plates, screws, rods, or bone grafts may be used to support the bones while they fuse.
Can diabetic patients undergo joint fusion surgery?
Yes, but they require careful pre-surgery evaluation and monitoring to ensure proper healing.
Is joint fusion surgery painful?
You will not feel pain during surgery, and after the procedure, pain is manageable with medication.
What is the success rate of joint fusion surgery?
Joint fusion has a high success rate, especially for severe arthritis and instability cases.
Can children undergo joint fusion surgery?
It is usually recommended only when absolutely necessary and after thorough evaluation by a pediatric orthopedic specialist.
Will the fused joint affect my daily life?
Most patients return to normal routines easily because the reduced pain and improved stability outweigh the loss of joint movement.
How do I prepare for the surgery?
You may need blood tests, imaging, medical clearance, and guidance on medications to ensure a safe procedure.
How do I know if joint fusion surgery in Malakpet is right for me?
A full consultation with our orthopedic team will help determine whether fusion or another treatment option is best for your condition.