Complex Fracture Treatment in Malakpet
Dr. Praful’s Orthopedic Clinic, Malakpet
with
Advanced Diagnosis & Expert Care by Dr. Kilaru Praful
Complex fractures need careful diagnosis and expert care to heal properly. At Malakpet, Dr. Praful Kilaru, with over 17 years of experience, offers reliable treatment using advanced imaging and precise assessments. Combining modern non-surgical and surgical approaches, he focuses on restoring stability, mobility, and function, helping patients get back to their daily activities safely and confidently.
What are complex fractures?
Fracture usually refers to a break in the bone whereas complex fractures are when there is severe damage or break to a bone. This is also known as compound fracture. damage to the soft tissue. Complex fractures are open fractures which in most cases, have the bone protruding out of the socket, through the skin. It also damages the soft tissue, ligaments, joints and tendons. The nature of complex fractures are frail and generally require proper surgical treatment in order to treat and heal the damage. Dr.Praful’s orthopedic clinic offers the best complex fracture surgery in Hyderabad with completely safe and guaranteed results.
Complex Fracture Treatment in Malakpet – Expert Care for Safe Recovery
Complex fractures, such as multi-fragment, joint-involving, or pelvic fractures, need precise diagnosis and specialized care. At Malakpet, Dr. Praful Kilaru provides advanced imaging, careful surgical planning, and personalized treatment to ensure proper bone alignment, stable healing, and preserved joint function. These fractures often result from accidents, falls, or sports injuries, and his structured, evidence-based approach helps patients regain mobility and return to daily life safely and confidently.
About the Dr.Praful
- 17+ Years of Excellence in Orthopedics
- MBBS, MS (Orthopaedics)
- AO Trauma Fellowship – Switzerland
- Arthroscopy & Sports Injury Specialist
- Senior Orthopedic Surgeon – Hyderabad
Struggling with a Complex Fracture? Here’s What You Should Know
Complex fractures, including multi-fragment, joint-involving, or pelvic injuries, require expert attention for proper healing. For Complex Fracture Treatment in Malakpet, Dr. Praful Kilaru provides advanced imaging, precise treatment planning, and modern orthopedic techniques to ensure accurate bone alignment, stable recovery, and preserved joint function. These serious injuries often occur due to accidents, falls, sports, or workplace trauma, and his personalized approach helps patients safely return to daily life with confidence.
Common Symptoms of Complex Fractures
Common Causes of Complex Fractures
- High-impact injuries from road accidents
- Falls from height causing unstable fractures
- Sports injuries from collisions or sudden force
- Workplace or industrial trauma
- Weak bones due to osteoporosis
Complex Fracture Treatment Options in Malakpet
Non-Surgical Treatments
- Pain relief and anti-inflammatory medications
- Immobilization with casts, splints, or braces
- Physiotherapy to restore movement after initial healing
- Regular imaging to track bone recovery
- Activity adjustments for safe healing
Surgical Treatments
- Internal fixation with plates, screws, or rods
- Minimally invasive fracture repair when possible
- Reconstruction for joint-involving fractures
- Surgery for pelvic or multi-bone fractures
- Revision procedures for delayed or non-healing fractures
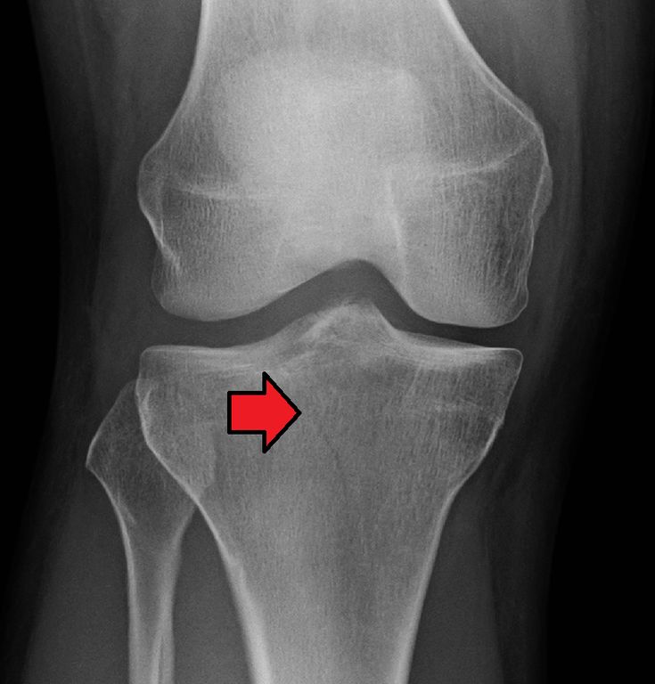
Diagnosis of Complex Fractures
Understanding how the injury happened
Checking pain, swelling, and movement
X-rays to identify the Bone fracture
CT scan or MRI for complex injuries
Why Patients Highly Recommend Dr. Praful
| S.No | Reason | Description | Category |
|---|---|---|---|
| 1 | Strong Educational Background | MBBS, MS Orthopedics, AO Trauma Fellowship (Switzerland) | Qualification |
| 2 | 17+ Years of Clinical Excellence | Successfully treated thousands of patients | Experience |
| 3 | Expert in All Orthopedic Conditions | Knee, spine, shoulder, fractures, sports injuries, pediatric cases | Expertise |
| 4 | Advanced Robotic & Minimally Invasive Surgery | Faster recovery, less pain, precise results | Technology |
| 5 | Honest, Clear & Ethical Treatment | Surgery advised only when truly required | Ethics |
| 6 | High Surgical Success Rate | Thousands of pain-free, satisfied patients | Outcomes |
| 7 | Easy Accessibility – Located in Malakpet | Patients visit from Dilsukhnagar, Amberpet, Chaderghat & more | Location |
| 8 | Excellent Patient Reviews | Known for communication, care & surgical skill | Reputation |
| 9 | Personalized Treatment Plans | Tailored care for every patient | Care Quality |
| 10 | Modern Diagnostic Tools | Accurate assessment with advanced imaging | Diagnostic Quality |
| 11 | Comprehensive Ortho Care | Covers trauma, joint pain, arthritis & sports injuries | Specialty |
| 12 | Friendly & Supportive Team | Smooth experience from consultation to recovery | Patient Support |
| 13 | Fast Recovery Protocols | Focus on minimal downtime and faster healing | Recovery |
| 14 | Transparent Communication | Clear explanation of treatment options | Trust |
| 15 | Affordable Treatment Options | Quality orthopedic care at reasonable pricing | Value |
| 16 | High Patient Satisfaction | Strong word-of-mouth recommendations | Social Proof |
🩺 What Causes Complex Fractures?
Complex fractures occur due to high-impact injuries or weak bones. Proper evaluation helps plan the right treatment.
1. High-Impact Trauma
- Road accidents
- Falls from height
- Sports or collision injuries
2. Bone-Related Factors
- Osteoporosis or weak bones
- Previous fractures or implants
- Age-related bone loss
3. Injury Complexity
- Multiple bone fragments
- Joint-involving fractures
- Pelvic or multi-bone injuries
Happy Patients
FAQs
What is Complex Fracture Treatment in Malakpet?
Complex Fracture Treatment in Malakpet refers to specialized care for fractures that involve multiple bone fragments, joint surfaces, open wounds, or severe soft-tissue damage. These cases require advanced surgical expertise and modern diagnostic tools.
How do I know if my fracture is considered complex?
A fracture is complex if the bone is shattered into several pieces, involves a joint, causes deformity, has an open wound, or affects nerves and muscles.
When should I consult an orthopedic doctor in Malakpet for a complex fracture?
Complex Fracture Treatment in Malakpet You should seek immediate care if you notice visible deformity, severe swelling, open wounds, numbness, or inability to move the affected limb.
What causes complex fractures?
Common causes include road accidents, high-impact falls, sports injuries, industrial injuries, and weakened bones due to osteoporosis.
Do all complex fractures require surgery?
Not always. Some cases may be managed with advanced conservative methods, but many complex fractures need surgical fixation for proper alignment and healing.
What types of complex fractures do you treat?
Complex Fracture Treatment in Malakpet We manage pelvic fractures, acetabular fractures, intra-articular fractures, compound fractures, comminuted fractures, limb fractures, nonunion/malunion cases, and periprosthetic fractures.
What is ORIF and when is it used?
ORIF (Open Reduction and Internal Fixation) is a surgical technique used to realign and stabilize complex fractures using plates, screws, or rods.
How long does recovery take after complex fracture treatment?
Recovery varies based on fracture severity, age, overall health, and treatment type. Most patients begin rehabilitation within weeks and continue healing for several months.
Can complex fractures heal without complications?
Yes, with timely diagnosis, skilled surgical care, and proper post-treatment rehabilitation, most patients recover without major complications.
What happens if a complex fracture is not treated properly?
Delayed or improper treatment can lead to deformity, chronic pain, mobility issues, joint stiffness, or long-term disability.
Do you offer treatment for nonunion or malunion fractures in Malakpet?
Yes. We provide corrective surgery and advanced bone-healing techniques for fractures that failed to heal or healed incorrectly.
How do you diagnose complex fractures?
We use digital X-rays, CT scans, MRI scans, and 3D imaging to accurately evaluate fracture patterns and surrounding tissue damage.
Is Complex Fracture Treatment painful?
Pain is managed with advanced anesthesia, pain-relief protocols, and personalized postoperative care to ensure comfort throughout the healing process.
What kind of rehabilitation is required after treatment?
Rehabilitation typically includes physiotherapy, mobility exercises, strengthening routines, and gradual return to daily activities.
What kind of rehabilitation is required after treatment?
Rehabilitation typically includes physiotherapy, mobility exercises, strengthening routines, and gradual return to daily activities.
Are complex fractures more likely to cause infections?
Open or compound fractures carry a higher infection risk. We follow strict sterilization and wound-care protocols to minimize complications.
Can elderly patients undergo complex fracture surgery?
Yes. With careful evaluation and modern minimally invasive techniques, elderly patients can safely undergo surgery and achieve good outcomes.
What is a periprosthetic fracture and how is it treated?
A periprosthetic fracture occurs around joint implants, such as hip or knee replacements. Treatment may involve specialized fixation or revision surgery.
Do you treat sports-related complex fractures?
Absolutely. We specialize in treating high-impact sports injuries that involve joint-involved or multi-fragment fractures.
How soon should I seek treatment after a severe fracture?
Immediate evaluation is essential. Early treatment improves healing, reduces complications, and prevents long-term mobility issues.
Why choose your clinic for Complex Fracture Treatment in Malakpet?
Our clinic combines experienced Complex Fracture Treatment in Malakpet orthopedic surgeons, advanced imaging, modern surgical techniques, personalized rehabilitation, and patient-focused care to ensure the highest treatment success.